Crynodeb o'r Newyddion

Social media image

Gall lleihau'r defnydd o gyfryngau cymdeithasol 15 munud y dydd wella'ch iechyd

Mae ymchwil newydd gan Brifysgol Abertawe'n dangos y gall defnyddio'r cyfryngau cymdeithasol am 15 munud yn llai bob dydd wella iechyd cyffredinol a gweithrediad y system imiwnedd yn sylweddol a lleihau unigrwydd ac iselder. Cynhaliwyd yr astudiaeth, a gyhoeddwyd yn y cyfnodolyn Journal of Technology in Behavior Science, gan yr Athro Phil Reed, Tegan Fowkes, a Mariam Khela o Gyfadran Meddygaeth, Iechyd a Gwyddor Bywyd Prifysgol Abertawe.

Darllen mwy
Car newydd yn rhoi hwb i gefnogaeth hanfodol canolfan rhoddwyr llaeth i fabanod sâl a chynamserol

Car yn rhoi hwb i gefnogaeth hwb llaeth rhoddwyr i fabanod sâl a chynamserol

Bydd mwy o fabanod yng Nghymru yn elwa wrth i gerbyd trydan newydd gyrraedd sy’n cefnogi casgliadau llaeth gan roddwyr diolch i bartneriaeth gyda’r Human Milk Foundation a welodd ganolfan llaeth gan roddwyr wedi ei sefydlu yng Nghymru am y tro cyntaf.

Darllen mwy
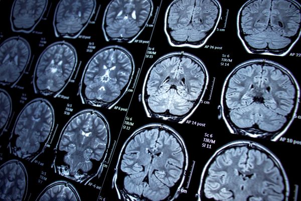
Dementias Platform UK yn lansio hyb delweddu arloesol newydd

Dementias Platform UK yn lansio hyb delweddu arloesol newydd

Bydd hyb delweddu arloesol, a ddatblygwyd gan dîm porth data Dementias Platform UK yn yr uned gwyddor data poblogaethau ym Mhrifysgol Abertawe, yn galluogi ymchwilwyr i gael mynediad unigryw at sganiau sy’n delweddu’r ymennydd.

Darllen mwy
Grwpiau lleiafrifoedd ethnig yn rhannu ag ymchwilwyr brofiadau o fyw drwy Covid

Grwpiau lleiafrifoedd ethnig yn rhannu ag ymchwilwyr brofiadau o fyw drwy Covid

Mae ymchwil newydd wedi datgelu sut gwnaeth aelodau o grwpiau lleiafrifoedd ethnig yn ne Cymru ymdopi â heriau a achoswyd gan bandemig Covid.

Darllen mwy

Uchafbwyntiau Ymchwil

Y cyfraniad y mae llenyddiaeth LGBTQ+ Gymraeg wedi’i wneud ledled y byd

Y cyfraniad y mae llenyddiaeth LGBTQ+ Gymraeg wedi’i wneud ledled y byd

Mae ymchwil yr Athro Kirsti Bohata i lenyddiaeth LGBTQ+ o Gymru yn datgelu bod pobl queer wedi gwneud cyfraniad pwysig i lenyddiaeth a hanes Cymru a’r byd. Mae ei gwaith yn canolbwyntio’n arbennig ar fywyd ac ysgrifennu Amy Dillwyn (1845-1935), diwydiannwr a nofelydd o Oes Victoria.

Darllen mwy
Ffwng i reoli plâu cnydau

Ffwng i reoli plâu cnydau

Yn fyd-eang, mae plâu di-asgwrn-cefn (e.e. pryfed, gwiddon, nematodau) yn achosi difrod gwerth cannoedd o biliynau o bunnoedd i gnydau âr a choedwigoedd bob blwyddyn, gan effeithio ar ddiogelwch bwyd yn fyd-eang. Mae'r Athro Tariq Butt a'i dîm yn datblygu plaladdwyr nad ydynt yn gemegol i fynd i'r a.fael â difrod i gnydau âr 

Darllen mwy
Gwella Cymorth Seicolegol ar gyfer Straen sy'n Gysylltiedig ag Iechyd

Gwella cymorth seicolegol ar gyfer straen sy'n gysylltiedig ag iechyd

Mae ymchwil a wnaed gan yr Athro Paul Bennett a Dr Rachael Hunter yn canolbwyntio ar helpu cleifion i ymdopi ag effeithiau trawmatig clotiau gwaed. Mae byrddau iechyd wedi rhoi darpariaeth seicolegol ar waith ar gyfer cleifion VTE o ganlyniad uniongyrchol i'r ymchwil hon, ac mae wedi’i rhoi ar waith yn llawn yn GIG Cymru. 

 

 

Darllen mwy

Barn Arbenigwyr

Yr Athro Paul Boyle

Pris bach i'w dalu i amddiffyn arloesedd - rhaid i lywodraeth y DU weithredu

Rhaid i ffynynellau cyllid ar gyfer ymchwil ac arloesi ar ôl Brexit, yn lle cronfeydd Ewropeaidd, fod cyfwerth â’r symiau blaenorol. Heb yr arian hanfodol hwn, bydd ein prifysgolion yn dioddef ergyd ofnadwy, ysgrifenna’r Athro Paul Boyle yn City AM.

Darllen mwy
Professor Stuart Macdonald

Mynd i’r afael â gweithgareddau terfysgwyr ar-lein

Yn y rhifyn hwn o'r gyfres podlediadau Archwilio Problemau Byd-eang, mae'r Athro Stuart Macdonald yn trafod ei ymchwil i wrthderfysgaeth, gan archwilio defnydd terfysgwyr o'r rhyngrwyd, yn enwedig seiberderfysgaeth a phropaganda a radicaleiddio ar-lein

 

Gwrandewch nawr
Pum cyrchfan twristiaeth ysbrydol a sut i’w profi

Pum cyrchfan twristiaeth ysbrydol a sut i’w profi

Mae'r pandemig wedi sbarduno rhai pobl i ymddiddori mwy mewn crefydd ac ysbrydegaeth. Yn yr erthygl hon o The Conversation, mae Jaeyeon Choe, Ymchwilydd mewn Datblygu Twristiaeth Gynaliadwy ym Mhrifysgol Abertawe, yn ystyried Twristiaeth Ysbrydol nawr bod y pandemig yn lleddfu..

Darllen mwy

Dan y chwyddwydr...

Dr Menna Brown

Ymchwilydd Gyrfa Gynnar

Uwch-ddarlithydd yn y Gyfadran Meddygaeth, Iechyd a Gwyddor Bywyd yw Dr Menna Brown. Mae ei gwaith ymchwil presennol yn archwilio rôl lles emosiynol wrth bennu canlyniadau iechyd corfforol mewn cyd-destun iechyd digidol.

Darllen mwy
Louis Bromfield

Ymchwilydd ôl-raddedig

Mae Louis Bromfield yn fyfyriwr PhD yn yr Adran Astudiaethau Gwleidyddol a Diwylliannol yng Ngholeg y Celfyddydau a'r Dyniaethau sy'n archwilio effeithiau rhagfynegi drwy gemau ar ymgysylltu gwleidyddol.

Darllen mwy
LEAF labs

Menter Ymchwil

Mae labordai yn rhan annatod o ymchwil ym Mhrifysgol Abertawe, ond ni ddylid anwybyddu eu heffeithiau sylweddol ar yr amgylchedd. Felly i leihau ein heffaith, rydym yn annog ein labordai i ymuno â rhaglen LEAF (Fframwaith Asesu Effeithlonrwydd Labordai).

Darllen mwy

Cydweithrediadau Ymchwil

Dur gwyrddach a glanach: technoleg rithwir yn asesu hydrogen fel tanwydd ar gyfer ffwrneisi i dorri allyriadau carbon

Dur gwyrddach a glanach

Mae arbenigwyr dur wedi bod yn edrych yn rhithwir y tu mewn i ffwrnais simnai, fel rhan o brosiect newydd i brofi pa mor dda y byddai hydrogen yn gweithio fel rhydwythydd ar gyfer gwneud dur.

Darllen mwy
Y Brifysgol yn helpu i greu ap realiti rhithwir newydd i ennyn diddordeb mewn gyrfaoedd lled-ddargludyddion

Y Brifysgol yn helpu i greu ap realiti rhithwir newydd

Mae Prifysgol Abertawe wedi partneru â chwmni technoleg ymgolli i greu profiad realiti rhithwir newydd â'r nod o ysbrydoli'r genhedlaeth nesaf i ddilyn gyrfa mewn pynciau STEM.

Darllen mwy
Canfod Alzheimer yn gynnar - cydweithrediad â phrifysgol Japan

Canfod Alzheimer yn gynnar - cydweithrediad â phrifysgol Japan

Dyfarnwyd £1.3 miliwn i wyddonwyr o Sefydliad Arloesol Prifysgol Abertawe ym maes Deunyddiau, Prosesau a Thechnolegau Rhifyddol (IMPACT) ac o Japan, er mwyn datblygu pecyn newydd “profion pwynt gofal” sy’n gallu canfod biofarcwyr Clefyd Alzheimer.

Darllen mwy

Cofrestrwch i dderbyn y rhifyn diweddaraf o MOMENTUM yn syth i'ch mewnflwch

Drwy lenwi'r ffurflen hon rydych yn cydsynio i dderbyn MOMENTUM drwy e-bost. Gallwch ddad-danysgrifio unrhyw bryd trwy glicio ar y ddolen dad-danysgrifio ar waelod e-bost. I gael rhagor o wybodaeth darllenwch ein polisi preifatrwydd.